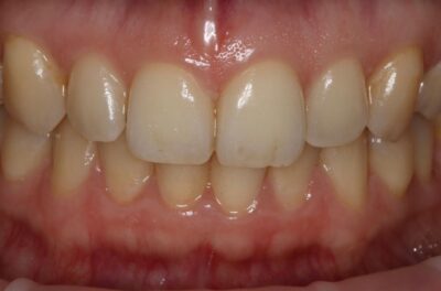
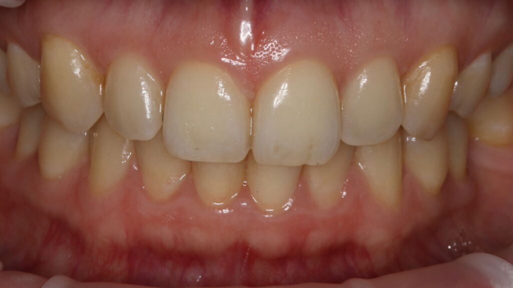
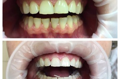
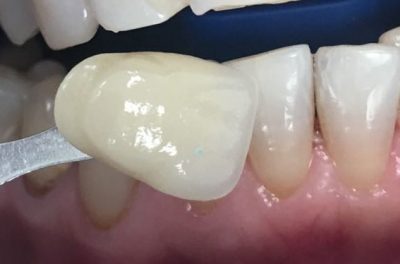
Красивая белоснежная улыбка — неотъемлемая часть успешного образа, показатель здоровья и фактор, повышающий уверенность в себе. Наша клиника предлагает отбеливание зубов в Москве на выгодных условиях и с гарантией результата. Мы используем передовые технологии, так что процедура будет безопасной и эффективной.












