Установка импланта — Исламов Л.А.(10.11.2025)

Установка импланта, подшит трансплантат с бугра( для увеличения объема мягких тканей), установлен формирователь десны

Установка импланта, подшит трансплантат с бугра( для увеличения объема мягких тканей), установлен формирователь десны

Установка импланта, подшит трансплантат с бугра( для увеличения объема мягких тканей), установлен формирователь десны

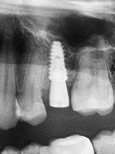
Установка импланта

Установка импланта, подшит трансплантат с бугра( для увеличения объема мягких тканей), установлен формирователь десны

Установка импланта, подшит трансплантат с бугра( для увеличения объема мягких тканей), установлен формирователь десны

Установка импланта, подшит трансплантат с бугра( для увеличения объема мягких тканей), установлен формирователь десны

Отзывы на сторонних ресурсах