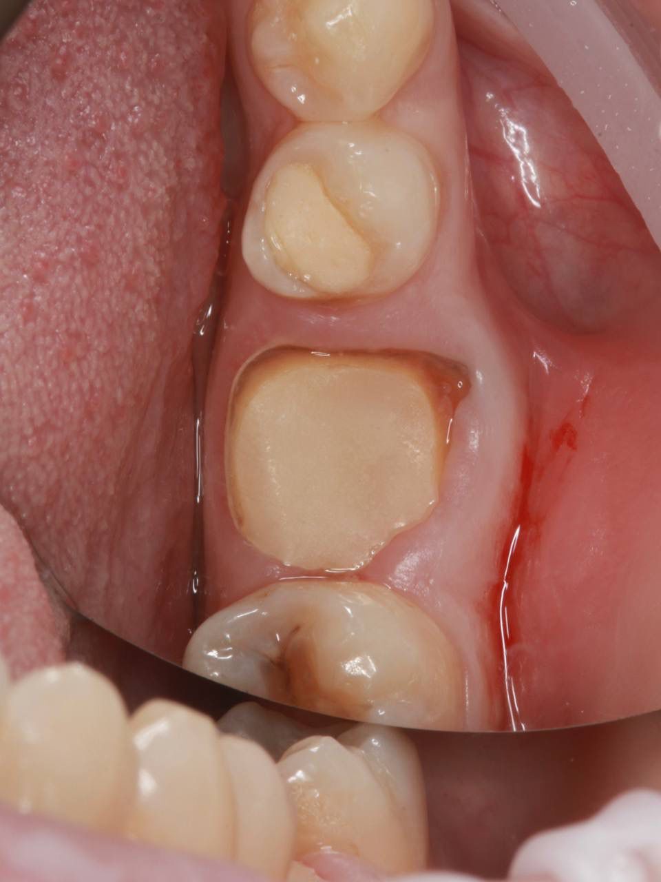
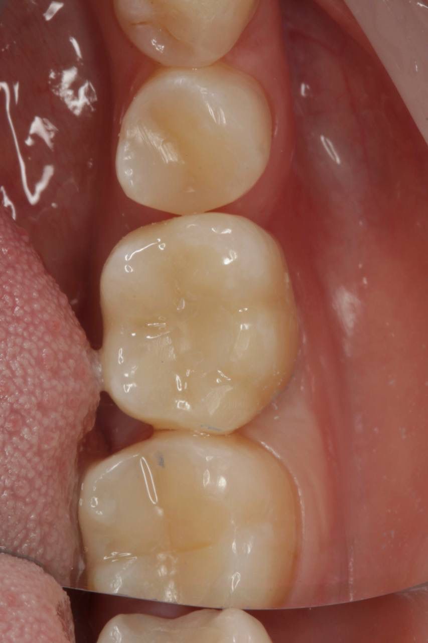
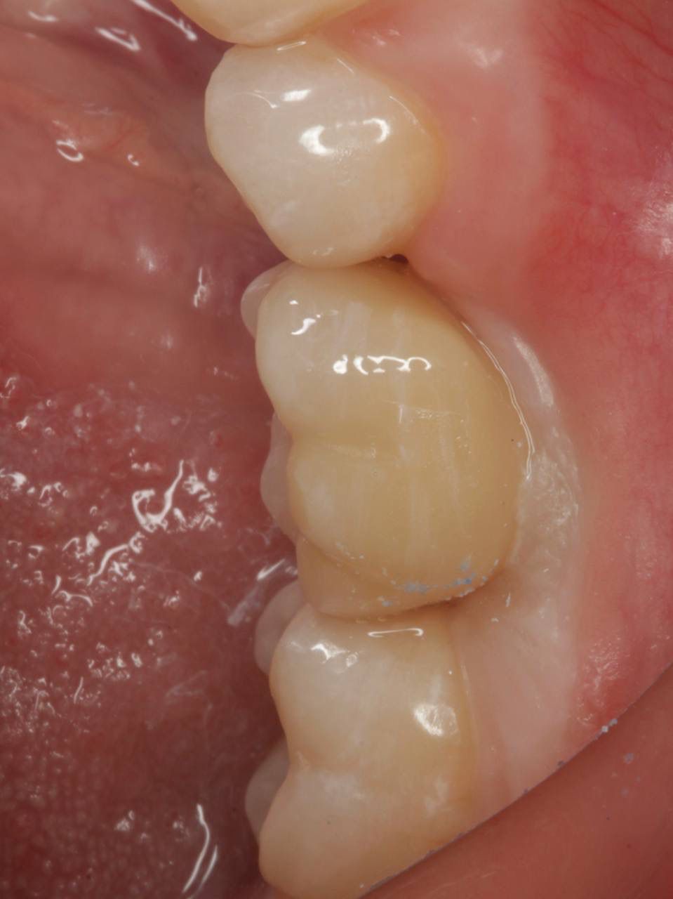
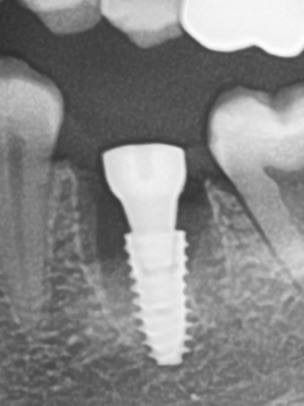
Одномоментная имплантация — Исламов Л.А.(10.11.2025)
Одномоментная имплантация системой Osstem(Ю. Корея), подшит трансплантат с бугра(для увеличения объема мягких тканей), установлен формирователь десны. Через 3 месяца установлена коронка из диоксида циркония на винтовой фиксации









