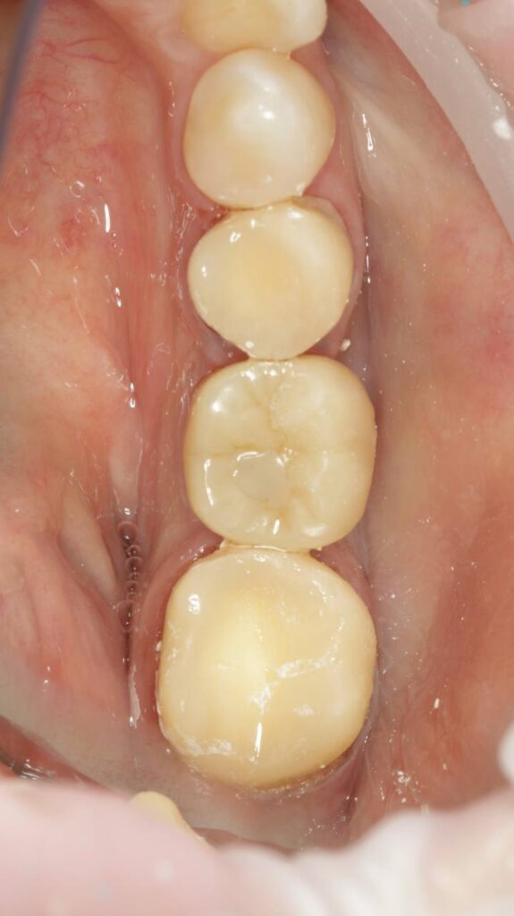
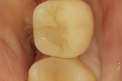
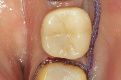
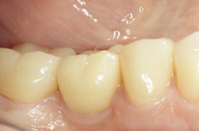
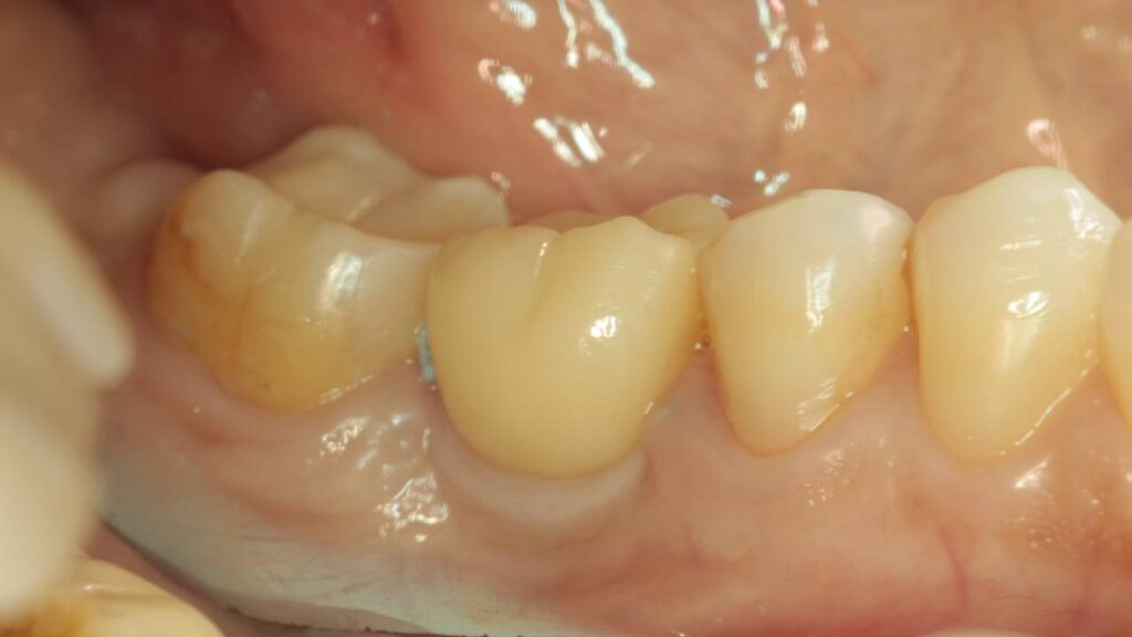
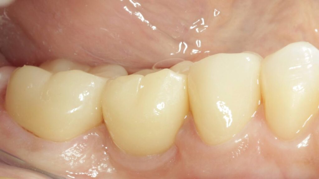
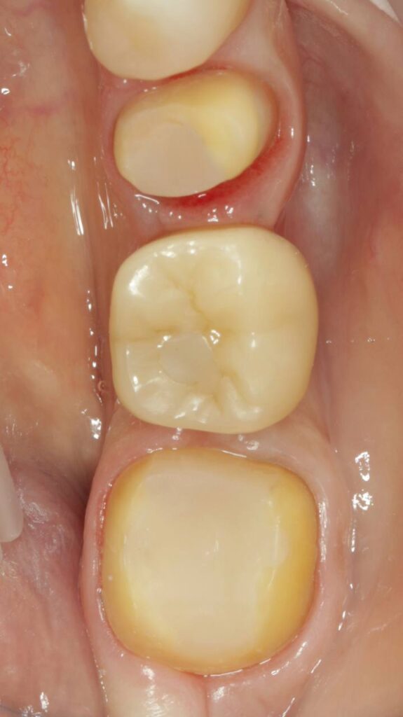
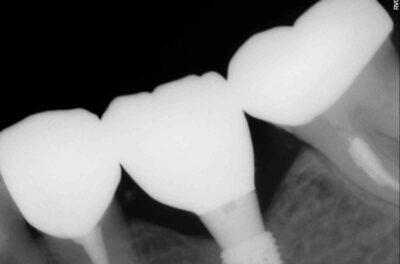
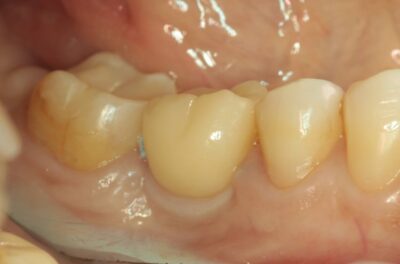
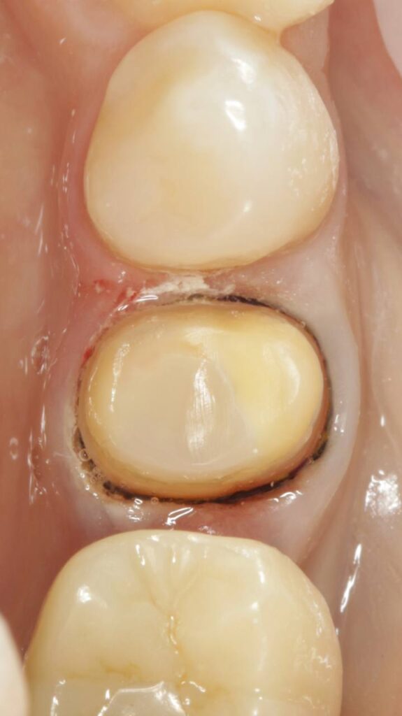
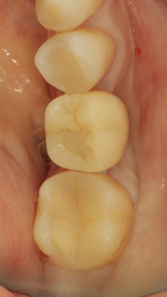
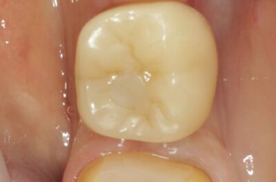
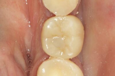
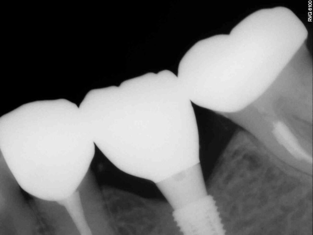
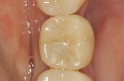
Протезирование коронками из диоксида циркония, после эндодонтического лечения — Исламов Л.А.(01.04.2026)

Отзывы на сторонних ресурсах