
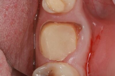
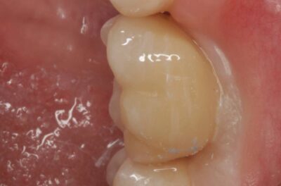
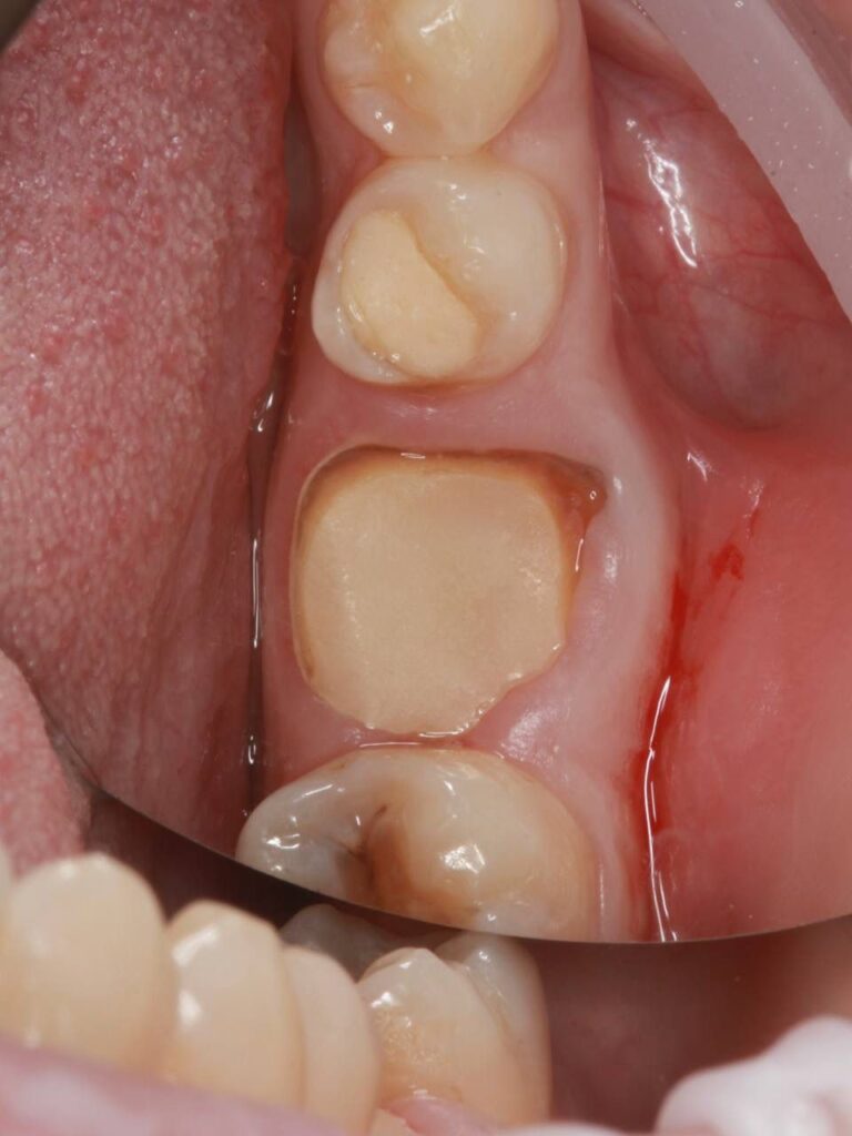
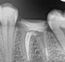
Исламов Ленар Альбертович
Образование: Казанский государственный медицинский университет (2019 г.).
Специализация: терапия(эндодонтия), ортопедия, имплантология.

Исламов Ленар Альбертович
Образование: Казанский государственный медицинский университет (2019 г.).
Специализация: терапия(эндодонтия), ортопедия, имплантология.
Ваша заявка успешно отправлена. Менеджер свяжется с вами в ближайшее время